МИКРОСКОПИЧЕСКИЕ ФОТОГРАФИИ — КОЖА И ЕЕ ПРОИЗВОДНЫЕ
МИКРОСКОПИЧЕСКИЕ ФОТОГРАФИИ — КОЖА И ЕЕ ПРОИЗВОДНЫЕ| | Поместите стрелку мыши или нажмите пальцем на фотографию и Вы сможете увидеть ее без обозначений (при медленной загрузке — не убирайте стрелку мыши или палец с картинки до тех пор пока не появится картинка без обозначений) |
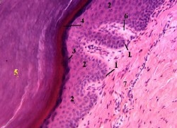
| КОЖА ПАЛЬЦА Окраска гематоксилин-эозином 1 — базальный слой эпидермиса | |
| КОЖА ПАЛЬЦА Окраска гематоксилин-эозином 1 — базальный слой эпидермиса 7 — сетчатый слой дермы | |
| КОЖА ПАЛЬЦА Окраска гематоксилин-эозином 1 — базальный слой эпидермиса | |
| КОЖА С ВОЛОСОМ Окраска гематоксилин-эозином 1 — эпидермис 9 — корень волоса | |
| ВОЛОСЯНОЙ ФОЛЛИКУЛ Окраска гематоксилин-эозином 1 — волосяной сосочек |
© A Gunin; histol@mail.
ru
Лекарство от рака стирает узоры на пальцах
Подпись к фото,Шелушение кожи и кровотечение может стереть узоры на пальцах
Как обнаружил врач из Сингапура, распространенное лекарство от рака воздействует на кожный покров, что вызывает затруднения при взятии отпечатков пальцев.
Один из его пациентов по этой причине был недавно задержан иммиграционными властями в США на четыре часа.
Лечивший его врач Энг-Хуат Тан из Сингапура в статье, опубликованной в журнале Annals of Oncology, пишет, что такое воздействие имеет препарат капецитабин.
Доктор Тан, который работает в Национальном раковом центре в Сингапуре, указывает, что несколько других пациентов сообщали об утрате рисунка на пальцах, причем некоторые также столкнулись с проблемами при въезде в США.
Его пациент, мужчина 62 лет, проходил химеотерапию по диагнозу рак шеи. Ему был прописан капецитабин для предотвращения ремиссии.
Проблемы в аэропорту
Хотя этот препарат обычно используется при лечении нескольких разновидностей рака, он способен вызывать хроническое воспаление кожи ладоней или ступней, что ведет к образованию пузырьков, шелушению кожи и кровотечению.
Со временем это может привести к утрате папиллярного узора на пальцах.
У пациента доктора Тана появились слабые побочные симптомы после приема этого лекарства, но так как они не были серьезными, он принимал этот препарат в течение трех лет.
В декабре 2008 года он отправился навестить родственников в США.
По словам доктора Тана, его задержали в аэропорту после того, как сотрудники иммиграционной службы не смогли снять отпечатки его пальцев.
Ему все-таки разрешили въезд после того, как выяснилось, что он не представляет угрозы безопасности США. На будущее ему рекомендовали иметь при себе письмо от онколога с описанием этого синдрома.
Меры безопасности
Уже в течение нескольких лет отпечатки пальцев берутся у всех въезжающих на территорию США.
Полученные при въезде отпечатки пальцев сравниваются с отпечатками, взятыми при выдаче визы. Целью этого является выявление лиц, которые уже ранее подавали на визу и которым было отказано.
Пока неясно, как быстро происходит в результате использования препарата утрата папиллярного узора. В данном случае пациент не сознавал, что с ним это произошло.
• используется для лечения разных разновидностей рака, в том числе груди и кишечника • относится к лекарственной группе антиметаболитов • эти препараты ингибируют образование и восстановление ДНК в клетках • раковые клетки воспроизводят ДНК для роста и размножения
Как побороть авитаминоз и помочь организму после зимы
Весна – пора пробуждения природы, солнце начинает выглядывать чаще, а температурные значения приближаются к нулевой отметке, но несмотря на это, многие из нас замечают, что организм в целом чувствует себя слабым и истощенным. Как справится с авитаминозом, какими продуктами разбавить свой рацион, а также от каких привычек лучше отказаться РИА Новости рассказала врач общей практики городской поликлиники №64 департамента здравоохранения Москвы Виктория Агальцова.
Авитаминоз или гиповитаминоз?
Как рассказала врач, существуют два понятия – гиповитаминоз или авитаминоз, – за которыми скрывается сезонная нехватка витаминов осенью и весной. Однако гиповитаминоз характеризуется тем, что в организме в недостаточном количестве, но все-таки присутствуют, те или иные витамины. Авитаминоз же является более серьезным нарушением в работе организма человека. При авитаминозе наблюдается критическая нехватка или полное отсутствие одного или нескольких витаминов.
«Общих причин авитаминоза любого вида может быть множество: скудность рациона питания, отсутствие в нем свежих овощей и фруктов, зелени, круп, мяса, яиц, молока или творога; заболевания желудочно-кишечного тракта, при которых витамины не всасываются ворсинками кишечника и просто не попадают в кровь», — рассказала Агальцова.
Также это может случиться из-за пагубных привычек, которые нарушают синтез и усвоение витаминов. Причинами авитаминоза могут служить хронический стресс, постоянная усталость и прием медикаментозных препаратов, которые «выключают» действие витаминов.
О том, что витаминов не хватает, могут свидетельствовать различные изменения в организме. Так, по словам Агальцовой, волосы становятся тусклыми, чрезмерно секутся и начинают сильно выпадать, ногти становятся хрупкими и начинают слоиться, кожа становится сухой и бледной, иногда немного сероватой, губы быстро пересыхают и трескаются, также на них возможно появление герпеса.
«Зрение становится не таким острым, а порой и значительно ухудшается. Может появиться кровь во время чистки зубов, так как повышается кровоточивость десен; человек начинает часто болеть простудами и ОРВИ, обостряются и учащаются старые хронические заболевания», — добавила врач.
Она также отметила, что зачастую у человека при авитаминозе плохое настроение, он апатичен, с трудом встает по утрам, при этом ухудшается работа мозга.
Каких витаминов недостает организму?
Если человек стал замечать, что у него нарушена острота зрения, появилось жжение в глазах и сухость, кожа шелушится, волосы потускнели, зубы приобрели желтоваты оттенок, все это может свидетельствовать о недостатке в организме витамина А. Для того, чтобы восполнить дефицит витамина, следует включить в свой рацион молоко и молочную продукцию, печенку, морепродукты, а также смородину, крыжовник, абрикосы, морковь и шпинат. При этом, как отметила врач, все продукты с витамином А необходимо употреблять ежедневно, иначе лечение будет неэффективным.
Агальцова рассказала, что недостаточность витамина В1 характеризуется преждевременным увяданием кожи, слабостью мышц, аритмией и нарушением дыхания. Также появляется кожный зуд, одышка, ухудшается аппетит. «Восполняется недостаток тиамина употреблением в пищу дрожжей, хлебобулочных изделий, муки грубого помола и витаминных комплексов», — сказала она.
Дефицит В2 проявляется в потере веса и аппетита, поражениях кожи, воспалениях внутренней полости рта, светочувствительности. Наибольшее количество вещества содержится в злаках и горохе, в мясе и молоке. Витамин В3, или ниацин, влияет на регуляцию сна — днем человек хочет спать, а ночью мучается бессонницей. Также его недостаток вызывает повышенную кожную чувствительность, выпадение и обесцвечивание волос, депрессию. Для восполнения нехватки необходимо есть много зелени, фруктов и овощей, молочную продукцию и куриные яйца, а также животную и куриную печень.
При недостатке витамина В5, по словам врача, нарушается пигментация как кожи, так и волос — на теле появляются пятна, волосы меняют пигментацию и сильно выпадают. Много пантотеновой кислоты (В5) можно найти в мясе и рыбе, в птице, молоке, в овощах, орехах и бобовых.
«Недостаток витамина В6 вызывает приступы тошноты и судороги по ночам, вызывает когнитивную дисфункцию и даже психозы. Восполняется яичными желтками, печенкой и картофелем, шпинатом, морковью и орехами», — рассказала Агальцова.
Витамин В9, или фолиевая кислота при дефиците в организме сопровождается малокровием, потерей веса, бессонницей и сильной головной болью. При нехватке витамина необходимо есть продукты из почек и печени, свежие овощи и зелень, а также злаки и орехи.
Серьезные нарушения в виде психоза или даже паралича, по словам врача, может вызвать недостаточность витамина В12. При этом восполнение недостатка проблематично, поскольку вещество содержится в продуктах лишь в небольшом количестве — его практически нет в растениях, и немного в мясных продуктах — в телячьей и говяжьей печенке, морепродуктах и рыбе, а также в баранине.
«Каждый витамин из группы витаминов В отличается своей специфической симптоматикой. Однако поступать эти вещества должны в организм комплексно, а не по отдельности, так как они тесно взаимосвязаны», — подчеркнула Агальцова.
Говоря о витамине С, она рассказала, что при его недостатке повышается кровоточивость десен, развивается кариес, появляются проблемы с дыханием и нарушается пищеварение, также усиливается утомляемость и слабость.![]()
Если организму человека недостает витамина D, то может появляться кариес, боль в суставах, судороги, сутулость и потеря веса. Чтобы восполнить его дефицит следует употреблять говяжью и свиную печень, куриные яйца, молочные продукты и жирную рыбу. Кроме этого, врач может назначить облучение ультрафиолетом и прием препаратов кальция.
Агальцова рассказала, что витамин Е очень зависим от внешней и внутренней среды организма и легко разрушается под воздействием токсических веществ таких, как алкоголь или никотин. При дефиците витамина ускоряются процессы старения, кожа быстро увядает, нарушается зрение.
«Для лечения пациенту назначают диету, богатую токоферолом (витамином E): яйца, капуста и шпинат, сельдерей и морковь. Очень полезные растительные жиры — оливковое масло, кунжутное и льняное масло. Также большое количество токоферола содержится в таких травах как пустырник, мята и шиповник, рябина и облепиха. Поэтому рекомендуется употреблять травяные чаи из этих растительных смесей», — рассказала она, добавив, что также этим витамином богаты рыбий жир, морская рыба, миндаль и орехи.
При недостатке витамин Н, к которому может привести прием антибиотиков, необходимо есть больше сои и яиц, а именно желтков, гороха и цветной капусты, печени и грибов.
Дефицит витамин К, как рассказала врач, характеризуют сильные и длительные кровотечения даже при крошечных повреждениях, кровоточивость десен, проблемы с пищеварением, анемия, общая вялость и слабость. В этом случае нужно употреблять зеленую капусту и свиную печень, брокколи и шпинат, также немного витамина содержится в баранине и телятине.
Лучшее лечение заболевания – его профилактика
Для того чтобы не пришлось лечить гипоавитаминоз или авитаминоз, необходимо проводить профилактику.
Так, по мнению Агальцовой, следует питаться здоровой и разнообразной пищей, вести здоровый образ жизни, отказаться от вредных привычек, а также сбалансировать режим дня и каждый день гулять на свежем воздухе.
«Нужно своевременно лечить все возникающие заболевания, ведь они могут приводить к витаминной недостаточности. В профилактических целях пить поливитаминные комплексы в осенне-весенний сезон, принимать витамины в период, когда организм максимально ослаблен — в детском возрасте, в подростковом, во время беременности и лактации, в пожилом возрасте», — заключила врач.
Ссылка на публикацию: https://ria.ru/society/20180313/1516267369.html
Memorial Sloan Kettering Cancer Center
Этот документ, предоставленный Lexicomp®, содержит всю необходимую информацию о препарате, включая показания, способ применения, побочные эффекты и случаи, при которых необходимо связаться с вашим поставщиком медицинских услуг.
Торговые наименования: США
Bactroban Nasal [DSC]; Bactroban [DSC]; Centany; Centany AT
Для чего используется этот лекарственный препарат?
- Применяется для лечения инфекции некоторыми видами бактерий и профилактики их распространения и передачи.
- Этот препарат применяют для лечения кожных инфекций.
Что необходимо сообщить врачу ПЕРЕД приемом данного препарата?
Все формы выпуска:
- Если у вас аллергия на данный препарат, любые его составляющие, другие препараты, продукты питания или вещества. Сообщите врачу о вашей аллергии и о том, как она проявлялась.
Все средства для кожи:
- В случае необходимости применения на большом участке поверхности кожи.
- Если на Вашей коже есть повреждения или открытые раны. Не наносите препарат на поврежденную кожу или открытые раны.
Сочетание этого препарата с некоторыми лекарствами и заболеваниями может быть неблагоприятно.
Расскажите своему врачу и фармацевту о всех лекарственных препаратах, которые вы принимаете (как рецептурных, так и безрецептурных, натуральных препаратах и витаминах), а также о своих проблемах со здоровьем.
Вам необходимо удостовериться, что прием данного препарата безопасен при ваших заболеваниях и в сочетании с другими лекарственными препаратами, которые вы уже принимаете. Не начинайте и не прекращайте прием какого-либо лекарственного препарата, а также не меняйте дозировку без согласования с врачом.
Что мне необходимо знать или делать, пока я принимаю данный препарат?
Все формы выпуска:
- Сообщите всем обслуживающим Вас медицинским работникам о том, что Вы принимаете этот препарат. Это врачи, медсестры, фармацевты и стоматологи.
- Не применяйте дольше назначенного времени. Возможно возникновение вторичной инфекции.
- Сообщите врачу, если вы беременны, планируете забеременеть или кормите грудью. Необходимо будет обсудить преимущества и риски для вас и вашего ребенка.
Все средства для кожи:
- Перед нанесением на кожу других препаратов или продуктов проконсультируйтесь с врачом.
- Не наносите этот препарат на участки кожи, которые расположены возле мест внутривенного введения препаратов. Проконсультируйтесь с врачом.
- Если Вы — кормящая мать, которая применяет данный лекарственный препарат в области груди или соска, мойте данную область перед кормлением своего ребенка.
О каких побочных эффектах мне следует немедленно сообщать лечащему врачу?
ПРЕДУПРЕЖДЕНИЕ. В редких случаях у некоторых пациентов прием данного препарата может повлечь серьезные, а иногда и смертельно опасные побочные эффекты. Немедленно свяжитесь с лечащим врачом или обратитесь за медицинской помощью, если у вас присутствуют следующие признаки или симптомы, которые могут быть связаны с серьезными побочными эффектами:
- Признаки аллергической реакции, такие как сыпь, крапивница, зуд, покрасневшая и отечная кожа с волдырями или шелушением, возможно в сочетании с лихорадкой, свистящее или хрипящее дыхание, стеснение в груди или горле, затрудненное дыхание, глотание или речь, необычная хриплость, отечность в области рта, лица, губ, языка или горла.

- Раздражение в месте применения лекарственного препарата.
- Головокружение.
- Учащение или нарушение сердечного ритма.
- При применении большинства антибактериальных препаратов регистрировались случаи тяжелой формы диареи — диареи, вызываемой бактериями Clostridium difficile (C. diff.) [CDAD]. В некоторых случаях это заболевание может приводить к смерти. Оно может возникнуть во время лечения антибактериальным препаратом или в течение нескольких месяцев после прекращения лечения. При появлении болей или спазмов в животе или очень жидкого, водянистого или кровянистого кала немедленно обратитесь к врачу. Не пытайтесь лечить диарею самостоятельно без предварительной консультации с лечащим врачом.
Каковы некоторые другие побочные эффекты данного лекарственного препарата?
Любое лекарство может иметь побочные эффекты. Однако у многих людей побочные эффекты либо незначительные, либо вообще отсутствуют. Свяжитесь с лечащим врачом или обратитесь за медицинской помощью, если эти или любые другие побочные эффекты вас беспокоят или не проходят:
Все формы выпуска:
- Жжение или покалывание.
- Зуд.
- Головная боль.
- Тошнота.
Мазь для носа:
- Насморк или заложенность носа.
- Боль в горле.
- Кашель.
- Изменение способности к восприятию вкуса.
Данный список возможных побочных эффектов не является исчерпывающим. Если у вас возникли вопросы касательно побочных эффектов, свяжитесь со своим врачом. Проконсультируйтесь с врачом относительно побочных эффектов.
Вы можете сообщить о развитии побочных эффектов в национальное управление здравоохранения.
Вы можете сообщить о побочных эффектах в FDA по номеру 1-800-332-1088. Вы также можете сообщить о побочных эффектах на сайте https://www.fda.gov/medwatch.
Как лучше всего принимать этот лекарственный препарат?
Применяйте данный препарат в соответствии с предписаниями врача.
Прочитайте всю предоставленную Вам информацию. Строго следуйте всем инструкциям.
Все средства для кожи:
- Применяйте в строгом соответствии с указаниями, даже если симптомы улучшаются.
- Не следует принимать этот препарат внутрь. Только для нанесения на кожу. Следует избегать попадания в рот, нос и глаза (возможен ожог).
- Если препарат попал на какую-то из этих областей, хорошо смойте его водой.
- Мойте руки до и после применения. Если обрабатываемый участок находится на руке, не мойте руки после применения.
- Перед применением промойте пораженный участок. Убедитесь, что кожа хорошо высохла.
- Используйте марлевый или ватный тампон, чтобы нанести небольшое количество препарата на пораженную кожу.
- Участок, предназначенный для лечения, можно закрыть повязкой.
Мазь для носа:
- Продолжайте применять этот лекарственный препарат в соответствии с указаниями Вашего врача или другого медицинского работника, даже если у Вас хорошее самочувствие.
- Не для приема внутрь. Только для носового применения. Следует избегать попадания в рот и глаза (возможен ожог).
- Если препарат попал на какую-то из этих областей, хорошо смойте его водой.
- Мойте руки до и после применения.
- При использовании одноразовой мази для носа, 1/2 мази нужно поместить в одну ноздрю, а оставшуюся 1/2 — в другую. Ноздри нужно зажать пальцами рук и отпустить (примерно на одну минуту) и повторить это много раз для того, чтобы распределить мазь по слизистой ноздрей.
- После применения выбросьте тюбик. Не используйте повторно.
- Не применяйте данный лекарственный препарат с другими препаратами для носа.
Что делать в случае пропуска приема дозы лекарственного препарата?
- Примите пропущенную дозу, как только сможете.
- Если пришло время принять следующую дозу, не принимайте пропущенную дозу и затем вернитесь к обычному графику приема препарата.

- Не применяйте одновременно 2 дозы или дополнительные дозу.
Как мне хранить и (или) выбросить этот лекарственный препарат?
- Храните при комнатной температуре. Не помещайте в холодильник или морозильник.
- Храните все лекарственные препараты в безопасном месте. Храните все лекарственные препараты в месте, недоступном для детей и домашних животных.
- Утилизируйте неиспользованные лекарственные препараты или препараты с истекшим сроком годности. Не выливайте в туалет или канализацию без соответствующих указаний. Если у вас есть вопросы относительно утилизации лекарственных препаратов, проконсультируйтесь с фармацевтом. В вашем регионе могут действовать программы утилизации лекарственных препаратов.
Общие сведения о лекарственных препаратах
- Если состояние вашего здоровья не улучшается или даже ухудшается, обратитесь к врачу.
- Не следует давать кому-либо свое лекарство и принимать чужие лекарства.
- К некоторым лекарственным препаратам могут прилагаться другие информационные листки для пациента. Если у Вас есть вопросы, касающиеся данного лекарственного препарата, проконсультируйтесь с врачом, медсестрой, фармацевтом или другим работником здравоохранения.
- К некоторым лекарственным препаратам могут прилагаться другие информационные листки для пациента. Уточните у фармацевта. Если у Вас есть вопросы, касающиеся данного лекарственного препарата, проконсультируйтесь с врачом, медсестрой, фармацевтом или другим работником здравоохранения.
- Если вы считаете, что произошла передозировка препарата, немедленно позвоните в токсикологический центр или обратитесь за медицинской помощью. Будьте готовы сообщить или показать, какой препарат вы приняли, в каком количестве и когда это произошло.
Использование информации потребителем и ограничение ответственности
Эту информацию не следует использовать для принятия решения о приеме этого или любого другого препарата.
Только лечащий врач обладает необходимыми знаниями и опытом, чтобы принимать решения о том, какие препараты подходят для конкретного пациента. Данная информация не является гарантией того, что препарат безопасен, эффективен или одобрен для лечения каких-либо заболеваний или конкретных пациентов. Здесь приведены лишь краткие сведения общего характера об этом препарате. Здесь НЕ приводится вся имеющаяся информация о возможном использовании препарата с инструкциями по применению, предупреждениями, мерами предосторожности, сведениями о взаимодействии, нежелательных эффектах и рисках, которые могут быть связаны с данным препаратом. Эта информация не должна рассматриваться в качестве руководства по лечению и не заменяет собой информацию, предоставляемую вам лечащим врачом. Для получения полной информации о возможных рисках и преимуществах приема этого препарата обратитесь к лечащему врачу.
Авторское право
© UpToDate, Inc. и ее аффилированные компании и/или лицензиары, 2021. Все права защищены.
Псориатичекий артрит | Клиническая ревматологическая больница №25
Псораитический артрит — форма хронического воспалительного поражения суставов, развивающегося у больных псориазом.
Клинические признаки и симптомы псориатического артрита
Артрит в 68-75 % случаев развивается у больных, страдавших псориазом, или возникает одновременно с кожными изменениями; в 12-25 % случаев артрит предшествует появлению признаков дерматоза. От начала кожного поражения до развития артрита, как и от появления артрита до дерматоза, проходит различный период — от 2 нед до 10 лет и более. Дерматоз может быть распространенным, но нередко ограниченным, локализованным на волосистой части головы, разгибательных поверхностях локтевых, коленных суставов, вокруг пупка, под молочными железами, в ягодичных и паховых складках.
В ряде случаев он начинается с поражения ногтей. На поверхности ногтей появляются точечные углубления (симптом «наперстка»), ногтевые пластинки мутнеют, на них видны продольные или поперечные бороздки, иногда ногти истончаются и атрофируются (онихолизис), но чаще утолщаются и крошатся, как при грибковом поражении, что требует исключения микоза.
Начало артрита чаще всего незаметное, постепенное, но может быть и «острым».
Можно выделить пять типов поражения суставов при ПА, которые не исключают друг друга и могут сочетаться:
- артрит с поражением дистальных межфаланговых суставов;
- моноолигоартрит;
- полиартрит, похожий на ревматоидный;
- мутилирующий артрит;
- спондилоартрит.
Классическим типом считается воспаление дистальных межфаланговых суставов кистей и стоп, поражение обычно множественное, но в начале заболевания возможно развитие асимметричного моноолигоартрита. В частности, описаны случаи изолированного артрита дистальных суставов больших пальцев стоп. Пальпация суставов при ПА умеренно болезненная, припухлость обычно плотная, как правило, выходит за пределы сустава. Кожа над пораженными суставами синюшная или багровосинюшная. Изменение формы концевых суставов одновременно со своеобразной окраской кожных покровов создает картину «редискообразной» дефигурации пальца. Артрит дистальных межфаланговых суставов, как правило, сочетается с трофическими изменениями ногтей.
Характерным для ПА считается также «осевое» поражение — одновременное поражение дистального, проксимального межфаланговых и пястнофалангового суставов одного и того же пальца вплоть до развития анкилоза этих суставов. Аналогичные изменения в суставах пальцев стоп обусловливают их диффузную припухлость и покраснение кожных покровов — «пальцы сосиски». У 5 % больных наблюдается обезображивающая (мутилирующая) форма ПА, когда в результате остеолитического процесса пальцы укорачиваются, искривляются, обнаруживаются множественные подвывихи и анкилозы суставов.
Характерна асимметричность и беспорядочность (хаотичность) указанных изменений: на одной и той же руке, например, могут обнаруживаться сгибательные и разгибательные контрактуры пальцев, смещение их осей в различные стороны.
Описанные выше варианты классического псориатического артрита встречаются лишь у 5-10 % больных псориазом. У 70 % больны» выявляется моноили олигоартрит крупных суставов — коленного, голеностопного, очень редко тазобедренного. У 15 % больных поражено более трех суставов. При этом может поражаться любое сочленение, включая височночелюстные суставы. Обычно достаточно четко выражен асимметричный характер полиартрита, хотя могут быть процессы, чрезвычайно напоминающие клиническую картину РА. У 5 % больных развивается клиникорентгенологическая картина анкилозирующего спондилоартрита, как при болезни Бехтерева, хотя асимптомно протекающий сакроилеит рентгенологически выявляется у 50-60 % больных. ПА может сочетаться с поражением глаз (чаще конъюнктивит, ирит, реже эписклерит). Возникновение одновременно с этим язвенных поражений слизистой оболочки полости рта и половых органов сближает клиническую картину заболевания с болезнью Рейтера.
Поражения внутренних органов становятся отчетливыми при особенно тяжелом (злокачественном) варианте ПА. Он развивается только у лиц мужского пола, преимущественно молодого возраста (до 35 лет) и, как правило, страдающих атипичным псориазом (пустулезный псориаз или универсальная псориатическая эритродермия). Этот вариант отличает высокая лихорадка гектического типа с ознобами и повышенной потливостью. Суставной синдром проявляется множественным артритом с выраженным экссудативным компонентом воспаления, мучительными болями, требующими иногда даже назначения наркотиков. Одновременно обнаруживают прогрессирующие похудание, образование трофических язв, пролежней, усиленное выпадение волос, амиотрофию, генерализованное увеличение лимфатических узлов, особенно паховых. Из внутренних органов чаще всего поражается сердце по типу миокардита, проявляющегося умеренным расширением границ сердца, ослаблением I тона, систолическим шумом, тахикардией, не соответствующей лихорадке, нарушением ритма и диффузными изменениями миокарда по данным ЭКГ.
Возможно развитие гепатита, гепатолиенального синдрома. На высоте заболевания иногда отмечаются признаки диффузного гломерулонефрита, а при затяжном его течении — амилоидоз почек. При злокачественном варианте ПА можно наблюдать энцефалопатии с преимущественным вовлечением в процесс подкорковых образований, эпилептическими припадками и бредом. Иногда развиваются периферические невриты и полиневриты.
Лабораторные данные неспецифичны. В общем анализе крови определяется ускорение СОЭ, коррелирующее с активностью артрита.
Наиболее значимыми в дифференциальной диагностике являются рентгенологические изменения.
Как лечить псориатический артрит?
Лечение псориатического артрита имеет схожие принципы с терапией ревматоидного.
1. Нестероидные противовоспалительные препараты (НПВП).
Монотерапия НПВП показана только при относительно благоприятных вариантах ПА (олигоартрит, поражение дистальных межфаланговых суставов). При неэффективности НПВП показано назначение базисных противовоспалительных препаратов. В некоторых случаях НПВП приводят к обострению кожного псориаза.
2. Глюкокортикоиды (ГК).
Назначение ГК в низких дозах (10-15мг/сутки) применяют редко. Потенциальные показания — генерализованный периферический артрит с выраженной функциональной недостаточностью суставов, высокой активностью воспалительного процесса, неэффективность НПВС, наличие системных проявлений (аортита, диффузного гломерулонефрита, злокачественной формы). Локальная терапия ГК показана при ограниченном поражении суставов и энтезопатии (поражении связочного аппарата).
3. Базисные противовоспалительные препараты (БПВП).
а) Метотрексат — показан при высокой степени активнсоти заболевания в сочетании с прогрессирующей стадией распространеннного псориаза и при атипичном дерматозе (пустулезном и эритродермическом).
б) Циклоспорин — не имеет преимуществ перед метотрексатом по своему лечебному потенциалу, но вызывает более тяжелые побочные реакции (нефротоксичность, развитие артериальной гипертензии).
в) Сульфасалазин — оказывает умеренный эффект в отношении поражения суставов и кожи, но не влияет на клинические проявления поражения позвоночника и прогрессирование артрита.
г) Лефлуномид (Арава) — перспективный препарат, эффективность которого доказана в рандомизированных клинических исследованиях.
4. Генно-инженерные биологические препараты (ГИБП)
В настоящее время разрабатываются всё новые и новые биологические препараты, которые обладают более выраженным лечебным потенциалом, но в тоже время могут вызывать тяжелые побочные реакции, что требует особого контроле перед назначением этих препаратов.
Наиболее частым для лечения псориатического артрита в России в последнее десятилетии являлся инфликсимаб (ремикейд), который эффективен у наиболее тяжелых пациентов, резистентных к стандартной терапии.
Одним из вспомогательных методов лечения псориаза является ГИРУДОТЕРАПИЯ — лечение пиявками, особенно если пациенту противопоказана физиотерапия.
Подробности о работе врача ревматолога и процедуру обращения можно уточнить на страницах «Пациентам» и «Порядок обращения».
КОНСУЛЬТАЦИЯ ВРАЧА РЕВМАТОЛОГА
Мезотерапия и биоревитализация — «Скандинавия» Казань
Омолодить лицо можно при помощи инъекций с действующими веществами. Для биоревитализации используется раствор гиалуроновой кислоты, а для мезотерапии — «коктейль» из витаминов, коллагена и других активных компонентов.Мезотерапия и биоревитализация — одни из самых эффективных способов борьбы со старением кожи. После процедур ваша кожа станет гладкой, свежей и сияющей. Курс процедур поможет избавиться от морщин, пигментации, акне, купероза, темных кругов под глазами и веснушек.
Как проходит процедуры
На консультации врач-косметолог осмотрит кожу, подберет препарат и составит курс лечения.
При желании вы сможете записаться на процедуру в тот же день.
Перед процедурой врач-косметолог очистит кожу и нанесет на нее местное обезболивающее — крем с лидокаином. Спустя 20-30 минут специалист при помощи тонкой игры начнет вводить в кожу действующие вещества на глубину 2-3,9 мм. Сеанс занимает 20 минут.
Эффект мезотерапии и биоревитализации достигается за счет работы активных веществ и механического воздействия сверхтонкой иглы. Усиливается кровообращение, активизируется клеточный метаболизм и ускоряется регенерация клеток.
В клинике внимательной медицины «Скандинавия» работают высококвалифицированные врачи-косметологи с опытом работы от семи лет. Они владеют современными инъекционными методиками и способны оказать грамотную медицинскую помощь каждому пациенту.
Эффект процедуры достигается за счет работы активных веществ и механического воздействия сверхтонкой иглы для инъекций. Усиливается кровообращение, активизируется клеточный метаболизм и ускоряется регенерация клеток.
Биоревитализация
Биоревитализация требует меньшего количества инъекций, чем мезотерапия, а также обеспечивает более стойкий омолаживающий эффект.
При биоревитализации в клинике «Скандинавия» (АВА-Казань) используются препараты:
- Juvederm HYDRATE
- YIL-SYSTEM
- RESTYLANE VITAL
- MESOEYE
- MESO-WHARTON P19
- MESO-XANTHIN F199
- MESOSKULPT C71
Мезотерапия
В состав мезококтейля могут войти гиалуроновая кислота, коллаген, эластин, ферменты, витамины, аминокислоты и микроэлементы. Врач-косметолог подберет сочетание препаратов с учетом ваших потребностей. Также мезотерапия — отличная заменя биоревитализации для пациентов, у которых есть аллергические реакции на гиалуроновую кислоту.
При мезотерапии в клинике «Скандинавия» (АВА-Казань) используются препараты:
- Dermaheal SB
- Dermaheal HSR
- Dermaheal LL
- Dermaheal HL
- Dermaheal eyebag Solution
- Dermaheal dark circle Solution
- Fusion mesotherapy f-ppc
После мезотерапии
После процедуры на месте уколов могут быть заметны красные точки и небольшие уплотнения.
Это нормально, они проходят через несколько часов.
Первые несколько дней после процедуры не пользуйтесь декоративной косметикой, особенно тональным кремом. Также не следует посещать солярий, сауну и бассейн.
Эффект мезотерапии заметен после первой процедуры. Однако за один сеанс решить проблему невозможно, нужен курс из 4-6 процедур с интервалом в неделю.
Благодаря быстрому периоду восстановления, мезотерапию можно сочетать с другими косметологическими процедурами и пластическими операциями.
Противопоказания
Мезотерапия не проводится при нарушениях свертываемости крови, эпилепсии, инфекциях. Также процедура противопоказана при беременности, лактации и менструации. Мезотерапию нельзя делать после лазерной шлифовки лица. Необходимо дождаться полного восстановления кожи — на это уйдет 2-4 недели.
УСЛУГИ ОКАЗЫВАЮТ ВЫСОКОКЛАССНЫЕ СПЕЦИАЛИСТЫ:
| Название услуги | Цена |
| Прием (осмотр, консультация) дерматолога-косметолога первичный | 1000 |
| Прием (осмотр, консультация) дерматолога-косметолога повторный | 800 |
| ИАЛ-Систем(YAL SYSTEM) 0.6 мл гиалуроновая кислота | 7900 |
| ИАЛ-Систем(YAL SYSTEM) 1.1 мл гиалуроновая кислота | 11900 |
| Введение препарата Рестилайн Витал (Restylane Vital) 1мл | 11900 |
| Введение препарата Ювидерм Гидрейт (Juviderm Hudrate) 1мл | 9900 |
| Введение препарата JALUPRO HMN 2,5 мл (Ялупро HMN) | 12390 |
| Введение препарата MesoEye (МезоАй) С71 | 12900 |
| Введение препарата Мезовартон (Meso-Wharton P19 tm) | 12900 |
| Введение препарата Мезоксантин (Meso-Xanthin F199) 1,5 мл | 12900 |
| Введение препарата Мезоскульпт (MesoSculpt C71) 1 мл | 12900 |
| Введение препарата Гиалуаль (Hyalual) 2,2% 1,0 мл | 12900 |
| Введение препарата Аквашайн (Aquashine) HA BR 2мл | 10900 |
| Биоревитализация препаратом Филорга МНА-10 1,5мл | 3900 |
| Биоревитализация препаратом Филорга МНА-10 3мл | 6500 |
| Биоревитализация препаратом Филорга МНА-18 1мл | 9100 |
| Биоревитализация препаратом Принцесс Рич 1,0 мл | 6000 |
| Введение препарата Ювидерм Волайт 1мл | 16640 |
| Введение препарата липолитического действия Акваликс (Aqualyx) 8 мл | 7900 |
| Введение препарата Дермахил LL (Dermaheal LL) 5 мл липолитик | 3900 |
| Введение препарата Дермахил HL (Dermaheal HL) 5 мл для волос | 3900 |
| Введение препарата Дермахил (Dermaheal EyeBag Solution) 1,5 мл от ‘мешков под глазами’ | 3900 |
| Введение препарата Дермахил (Dermaheal Dark Circle Solution) 1,5 мл от ‘темных кругов под глазами’ | 3900 |
|
Мезотерапия препаратом НСТФ (NCTF) 135 НА (1 амп. |
7400 |
| Введение препарата Лаеннек 2 мл | 3900 |
| Введение препарата FUSION MESOTHERAPY F-PPC Антицеллюлитный 10 мл | 3400 |
| Курс мезотерапии препаратом FUSION MESOTHERAPY F-PPC 10 мл — 6 процедур | 18360 |
| Мезотерапия препаратом Мезофарм Hydroline 2 мл | 2 800 |
| Мезотерапия препаратом Мезофарм Hydroline 4 мл | 3 800 |
| Липолитический коктейль Light fit 2мл | 3 800 |
| Биоревитализация препаратом Гиалуаль 1,1% 2мл | 10 920 |
| Биоревитализация препаратом Гиалуаль 1,8% 2мл | 13 300 |
| Биоревитализация препаратом Гиалуаль 1,1% 1мл | 7 400 |
| Биоревитализация препаратом Гиалуаль 1,8% 1мл | 9 400 |
| Введение препарата Курасен 2мл | 3900 |
| Мезотерапия препаратом NCTF 135 3мл | 5900 |
| Мезотерапия препаратом NCTF 135HA + 3мл | 9900 |
| Введение препарата Дермахил LL (Dermaheal LL) 2,5 мл липолитик | 2800 |
| Введение препарата Дермахил HL (Dermaheal HL) 2,5 мл для волос | 2800 |
* цены указаны для Физических лиц
+ Показать все
Спасибо за заявку!
Скоро мы с вами свяжемся.
ЧИТАЙТЕ ТАКЖЕ
Крем и мазь Бепантен – основное действующее вещество, состав, пок
Бепантен выпускается в двух лекарственных формах – крем и мазь. Оба препарата предназначены для местного применения, но имеют ряд отличий, которые необходимо учитывать перед покупкой.
Состав препаратов
| Состав крема Бепантен | Состав мази Бепантен |
|---|---|
| Действующее вещество | |
| Декспантенол | Декспантенол |
| Вспомогательные вещества | |
| Цетиловый спирт | Цетиловый спирт |
| Стеариловый спирт | Стеариловый спирт |
| Вода очищенная | Вода очищенная |
| Ланолин (13 мг в одном грамме) | Ланолин (250 мг в одном грамме) |
| DL-пантолактон | Протегин Х |
| Феноксиэтанол | Воск пчелиный |
| Калия цетилфосфат | Мягкий и жидкий парафин |
| Пропиленгликоль | Миндальное масло |
| Изопропилмиристат | |
Главное отличие крема от мази – количественное содержание ланолина1. Это вещество натурального происхождения: оно максимально приближено по составу к естественному секрету кожных желез человека. Главное свойство ланолина – полупроницаемость, за счет чего создается надежная защита кожи и не нарушается газообмен. Еще одна важная особенность – способность ланолина создавать поверхностную пленку и препятствовать трению кожи в местах складок. Это снижает риск травмирования и развития дерматита2.
Из-за разного содержания ланолина крем и мазь Бепантен обладают различными свойствами. Крем содержит небольшое количество ланолина и представляет собой эмульсию «масло в воде».
За счет этого препарат быстро впитывается кожей и активно увлажняет ее.
Мазь Бепантен содержит почти в 20 раз больше ланолина, компонента, который обладает следующими свойствами3:
- образует на поверхности кожи защитную пленку, которая препятствует ее травмированию и пересыханию;
- обеспечивает более глубокое проникновение основного действующего вещества – декспантенола;
- предупреждает развитие инфекционных процессов на коже.
И мазь, и крем Бепантен легко наносятся на кожу, их не нужно смывать, они не имеют в своем составе вредных компонентов и могут применяться ежедневно.
Что выбрать: крем или мазь?
Учитывая, что области применения крема и мази похожи, даже врачи-педиатры не всегда правильно назначают нужный препарат. Обе эти формы могут использоваться для устранения различных проблем кожи, но с некоторыми исключениями.
Для устранения сухости кожи больше подойдет Бепантен Крем. Он помогает снять сухость при атопическом дерматите, псориазе, экземах, и т.п. Крем помогает снизить сухость и зуд кожи, тем самым улучшить состояние внешнего кожного покрова и предотвратить неприятные последствия для здоровья.
При этом Бепантен Мазь предназначена для лечения опрелостей и пеленочного дерматита. Она заживляет небольшие ожоги, раздражения и трещины.
Способ применения крема БепантенКрем Бепантен может применяться при лечении ссадин и трещин сосков у взрослых, а также сухости кожи у детей. Если использовать средство ежедневно, крем способствует профилактике сухости кожи2, а также устранению уже присутствующего раздражения. Наносить крем можно на любые участки кожи, в том числе на лицо.
Крем разрешается применять только наружно. Его наносят 1-2 раза в сутки тонким слоем на поврежденный участок кожи.
Способ применения мази БепантенСогласно инструкции по применению, мазь Бепантен можно использовать в следующих ситуациях:
- при лечении пеленочного дерматита и опрелостей у новорожденных;
- при лечении сухости и трещин сосков во время грудного вскармливания;
- с целью профилактики и лечения сухости кожи;
- для стимуляции процессов регенерации кожи при ее повреждении в результате царапин, небольших ссадин, язв и пролежней.

Лечение контрактуры Дюпюитрена без хирургического вмешательства (спонсируется)
Лечение контрактуры Дюпюитрена нехирургическим методом
XIAFLEX
® ЛечениеXIAFLEX ® — одобренное FDA нехирургическое средство для лечения взрослых с контрактурой Дюпюитрена, когда можно нащупать пуповину.
Исследования показывают, что рецепт XIAFLEX ® вместе с процедурой разгибания пальца может помочь выпрямить или почти выпрямить пораженный палец и улучшить диапазон движений после 3 инъекций.
XIAFLEX ® выдается:
- В кабинете врача
- Ручной специалист с обучением XIAFLEX ®
- Без общей анестезии
Лечение с помощью XIAFLEX ® начинается с поиска специалиста по кистям рук, обученного XIAFLEX ® . Используйте наш локатор, чтобы найти такой в вашем районе.
Найдите специалиста по рук в вашем районе
Какие результаты возможны?
Индивидуальные результаты могут отличаться.Ниже приведены реальные примеры лечения с помощью XIAFLEX ® :
У этого пациента имелась связка, которую можно было почувствовать, вызывая контрактуру МП (пястно-фалангового) сустава левого безымянного пальца. В пуповину вводили XIAFLEX ® , и через 48 часов выполняли процедуру наращивания пальца.
У этого пациента был ощущаемый спинной мозг, вызывающий контрактуру MP и PIP (проксимального межфалангового) сустава левого мизинца.В пуповину вводили XIAFLEX ® , и через 48 часов выполняли процедуру наращивания пальца.
Пациентам врачи сделали удлинение пальцев; были наложены шины; и были проинструктированы использовать шину перед сном до 4 месяцев и выполнять ежедневные упражнения для пальцев.
В исследованиях пациенты получали до 3 инъекций XIAFLEX ® или плацебо в пуповину, которую можно было прощупать, примерно с 4-недельными интервалами.
Наиболее частые побочные эффекты XIAFLEX ® для лечения контрактуры Дюпюитрена включают отек места инъекции или руки; синяк или кровотечение в месте инъекции; боль или нежность в месте инъекции или в руке; опухоль лимфатических узлов (желез) в локте или подмышке; зуд; разрывы кожи; покраснение или тепло кожи; и боль в подмышечной впадине.
Сообщите своему врачу, если у вас есть побочные эффекты, которые вас беспокоят или не проходят.Это не все возможные побочные эффекты XIAFLEX ® . Для получения дополнительной информации обратитесь к своему врачу или фармацевту.
По оценкам, с 2010 года более чем 150 000 пациентов с контрактурой Дюпюитрена прошли курс лечения XIAFLEX ® . * Посмотрите рассказ Эда о его опыте лечения.
* До февраля 2020 г.
83% (206 из 249) пациентов были удовлетворены XIAFLEX ® по сравнению с 30% (38 из 125) пациентов, получавших плацебо.*
* В 2 клинических исследованиях пациентов просили оценить их удовлетворенность лечением на 90-й день как «очень довольны», «вполне удовлетворены», «ни удовлетворены, ни неудовлетворены», «совершенно не удовлетворены» или «очень недовольны». Для анализа данных «удовлетворен» включает пациентов, которые выбрали «очень довольны» или «вполне удовлетворены».
В этих 2 клинических исследованиях пациенты получали до 3 инъекций XIAFLEX ® или плацебо в пуповину, которую можно было прощупать на 0, 30 и 60 дни.
Примерно через 24 часа после каждой инъекции пациентам делали процедуру вытягивания пальцев и надевали шину, которую можно было носить перед сном на срок до 4 месяцев. Пациенты также ежедневно выполняли упражнения для пальцев.
В этих 2 исследованиях у 60% пациентов был прямой или почти прямой палец через 30 дней после последней инъекции на 30, 60 или 90 день после 3 инъекций XIAFLEX ® и процедур вытягивания пальцев по сравнению с 6% пациентов, которые получил плацебо.
Наиболее частыми побочными эффектами XIAFLEX ® в этих исследованиях были отек руки, в которую была сделана инъекция, и синяк или кровотечение в месте инъекции.
Реакции кожи на таргетную терапию и иммунотерапию
Таргетная терапия и иммунотерапия являются более специфическими методами лечения, чем химиотерапия. Они могут вызывать побочные эффекты, отличные от тех, которые обычно связаны с химиотерапией. Побочные эффекты химиотерапии обычно включают тошноту, рвоту, слабость и изменения показателей крови. Побочные эффекты таргетной терапии и иммунотерапии могут включать проблемы с кожей, волосами, ногтями и / или глазами.
Что такое таргетная терапия?
Таргетная терапия — это лечение, направленное на определенные гены, белки или тканевую среду, которая способствует росту и развитию рака.Некоторые целевые методы лечения могут вызывать определенные побочные эффекты на коже, волосах и ногтях. Эти побочные эффекты вызваны действием лекарств на здоровый рост этих тканей.
Целенаправленная терапия, которая может вызвать проблемы с кожей
Ниже приведены некоторые виды таргетной терапии, которые могут повлиять на кожу. Если ваш врач назначает целевую терапию, спросите, каких побочных эффектов следует ожидать и как они будут лечиться.
- Лекарства, нацеленные на EGFR. Этот общий тип таргетной терапии фокусируется на молекуле, известной как рецептор эпидермального фактора роста (EGFR).
EGFR способствует росту раковых клеток. Он также играет роль в нормальном росте кожи, волос и ногтей. Это означает, что во время лечения этими препаратами может возникнуть сыпь и изменения на волосах и ногтях.У большинства людей, принимающих препараты, нацеленные на EGFR, появляется сыпь на лице и верхней части тела. Обычно это происходит в течение первых нескольких недель приема этих лекарств. Вы можете заметить покраснение или ощущение тепла, подобное солнечному ожогу, до того, как начнется сыпь.Через несколько дней появляются прыщики и гнойные шишки, а окружающая кожа становится слегка нежной. Сыпь обычно бывает легкой или умеренной. Но у некоторых людей появляются сильные высыпания, которые вызывают сильный физический и косметический дискомфорт.
Кожа также может стать очень сухой и зудящей, что мешает повседневной деятельности и сну. Кожа на кончиках пальцев может потрескаться. Кожа также может стать более чувствительной к солнечному свету. Сильное расчесывание может привести к появлению трещин на коже. Эти отверстия делают кожу более подверженной инфекциям.Воспаление вокруг ногтей может сделать уход, одевание и другие действия болезненными или трудными.
- Лекарства, нацеленные на VEGF. Другой тип таргетной терапии, которая может вызвать проблемы с кожей, включает препараты, блокирующие белок, называемый фактором роста эндотелия сосудов (VEGF). Этот белок помогает создавать новые кровеносные сосуды. Эту группу препаратов можно также назвать ингибиторами ангиогенеза, поскольку они блокируют образование кровеносных сосудов. Когда эти препараты воздействуют на кровеносные сосуды рук и ног, они могут вызвать проблемы с кожей.
Ваша медицинская бригада может помочь вам справиться с этими побочными эффектами, чтобы можно было продолжить лечение. Устранение этих побочных эффектов также может помочь избежать серьезных изменений на вашей коже, волосах и ногтях.
Важно отметить, что кожные побочные эффекты, связанные с этими препаратами, не являются аллергическими реакциями или инфекциями.
Общие побочные эффекты конкретных таргетных лекарственных препаратов, связанные с кожей
Ниже приведен список распространенных препаратов таргетной терапии, которые могут вызывать проблемы с кожей.
Афатиниб (Гилотриф), цетуксимаб (Эрбитукс), эрлотиниб (Тарцева), гефитиниб (Иресса), осимертиниб (Тагриссо) и панитумумаб (Вектибикс). Эти препараты могут быть назначены при колоректальном раке, раке головы и шеи, раке легких и раке поджелудочной железы. Побочные эффекты, связанные с кожей, включают:
Сыпь, похожая на угревую сыпь на лице и верхней части тела
Воспаление вокруг ногтей
Сухая, зудящая кожа
Растрескивание кончиков пальцев
Выпадение волос на коже головы
Густые, вьющиеся или жесткие волосы на лице и ресницах
Повышенная чувствительность к солнечному свету
Лапатиниб (Тыкерб). Используется для лечения рака груди. Побочные эффекты, связанные с кожей, включают:
Язвы на губах, во рту или в горле
Сухая кожа
Красные, болезненные, онемение или покалывание в руках и ногах
Сыпь
Сорафениб (Нексавар) и сунитиниб (Сутент).
Используется для лечения почечно-клеточного рака, стромальной опухоли желудочно-кишечного тракта (GIST) и гепатоцеллюлярного рака.Побочные эффекты включают:Кожные реакции на кистях и стопах (болезненные, утолщенные участки, иногда с волдырями на ладонях и подошвах)
Покраснение и шелушение кожи головы и бровей
Ощущение тепла, жжения на лице с покраснением
Сухая, зудящая кожа
Выпадение волос
Вемурафениб (Зелбораф). Используется для лечения меланомы.Побочные эффекты, связанные с кожей, включают:
Красная сыпь на лице и верхней части тела
Бугристая грубая сыпь на руках и бедрах
Кожные реакции кистей и стоп
Кожные новообразования, включая неопасные раковые образования кожи
Повышенная чувствительность к солнечному свету
Эверолимус (Афинитор, Зортресс) и темсиролимус (Торисель). Эти препараты таргетной терапии используются при почечно-клеточном раке, немелкоклеточном раке легкого (НМРЛ), нейроэндокринной опухоли поджелудочной железы (тип рака поджелудочной железы) и субэпендимальной гигантоклеточной астроцитоме (доброкачественная опухоль головного мозга, связанная с туберозным склерозом).
Побочные эффекты включают:Вандетаниб (Капрелса). Используется для лечения медуллярного рака щитовидной железы. Побочные эффекты включают:
Что такое иммунотерапия?
Иммунотерапия также называется биологической терапией. Это вид лечения рака, который повышает естественную защиту организма от рака. В нем используются материалы, произведенные организмом или в лаборатории, для улучшения, нацеливания или восстановления функции иммунной системы.
Многие побочные эффекты аналогичны побочным эффектам аллергической реакции.Они зависят от конкретного лекарства, которое получает человек, но могут включать проблемы с кожей, волосами, ногтями или глазами.
Общие кожные побочные эффекты иммунотерапии
Ниже приведен список распространенных иммунотерапевтических препаратов, которые могут вызывать проблемы с кожей.
Алемтузумаб (Кампат). Это лекарство используется для лечения хронического лимфолейкоза. Побочные эффекты включают язвы во рту.
Ипилимумаб (Ервой). Используется при меланоме.Побочные эффекты, связанные с кожей, включают:
Ниволумаб (Опдиво). Это лекарство может быть назначено при почечно-клеточном раке, НМРЛ и меланоме. Возможные кожные реакции включают:
Офатумумаб (Арзерра). Этот препарат может быть назначен при хроническом лимфолейкозе. Побочные эффекты, связанные с кожей, включают:
Внезапное покраснение лица, шеи или груди
Бледная кожа
Маленькие плоские круглые красные пятна под кожей
Сыпь
Ульи
Пембролизумаб (Кейтруда).
Этот препарат можно использовать для лечения НМРЛ и меланомы. Побочные эффекты, связанные с кожей, включают:Изменение цвета кожи
Пожелтение кожи и / или глаз
Выпадение волос
Волдыри на коже
Красная зудящая сыпь
Покраснение или покраснение кожи
Ритуксимаб (Ритуксан, Труксима). Этот препарат применяется при неходжкинской лимфоме и хроническом лимфолейкозе.Побочные эффекты, связанные с кожей, включают покраснение, болезненность, отек или тепло части кожи.
Лечение и устранение кожных проблем
Сыпь, сухость кожи, а также реакции на ногти и волосы редко бывают серьезными. Но они могут вызвать сильный дискомфорт. Пациенты могут даже захотеть прекратить лечение рака из-за этих реакций. Важно обсудить со своим лечащим врачом, чего ожидать. Также сообщите своему врачу, как только почувствуете или заметите какие-либо побочные эффекты.Существуют ранние и эффективные методы лечения этих реакций.
Следующие советы могут помочь избежать реакций и облегчить их, если они все же случатся:
Перед тем, как начать лечение, поговорите со своим лечащим врачом о побочных эффектах. Вы можете поговорить с дерматологом. Дерматолог — это врач, специализирующийся на кожных заболеваниях. Спросите, что делать, если появилась сыпь или другие проблемы. Это может включать в себя получение рецепта или лучший способ обратиться к врачу.

При первых признаках реакции сообщите своему врачу или дерматологу, знакомому с этими реакциями. Признаки реакции включают ощущение тепла или жжения, прыщи, трещины на ногтях или сухость кожи.
Избегайте солнца и используйте солнцезащитный крем с фактором защиты от солнца (SPF) не менее 15. Если солнцезащитный крем вызывает ощущение жжения, вы можете попробовать солнцезащитные кремы, содержащие оксид цинка или диоксид титана. Не забывайте использовать достаточно солнцезащитного крема. Нанесите более половины чайной ложки солнцезащитного крема на каждую руку, лицо и шею.Нанесите чуть более 1 чайной ложки на грудь и живот, спину и каждую ногу. Повторно наносите солнцезащитный крем каждые 2 часа на улице или чаще, если вы потеете или плаваете.
Выходя на улицу, надевайте шляпу с широкими полями. И избегайте попадания прямых солнечных лучей с 10:00 до 16:00.
Используйте мягкое мыло в душе. Избегайте мыла с сильным запахом. Примите душ теплой водой и избегайте длительного горячего душа. Также избегайте стиральных порошков с сильным запахом.
Нанесите увлажняющий крем на кремовой основе на всю кожу в течение 5 минут после душа или ванны.Используйте гипоаллергенные увлажнители без отдушек и консервантов, например Vanicream, Aveeno, CeraVe, Cetaphil и Eucerin.
Избегайте продуктов для кожи от прыщей, которые содержат спирт или ретиноиды. Они могут высушить кожу.
Ваш врач может назначить лечебные кремы для кожи от сыпи. Если сыпь сильная или покрывает большую часть тела, вам могут потребоваться пероральные кортикостероиды, такие как преднизон (Райос) или дексаметазон (доступен в виде дженерика).

Антибиотики, обычно принимаемые в течение 2–4 недель в форме таблеток, являются эффективным средством лечения сыпи и болезненности ногтей.
При выделении гноя врач может взять его образец, чтобы выбрать лучшее лечение антибиотиками.
Для кожных реакций рук / стоп на сорафениб и сунитиниб:
Используйте кремы, содержащие мочевину, называемую кармол 20 или кармол 40, или салициловую кислоту (несколько торговых марок).Также возможны сильные кортикостероиды, такие как флуоцинонид (несколько торговых марок) и клобетазол (несколько торговых марок).
Носите толстые удобные носки и обувь или попробуйте гелевые стельки. Кроме того, постарайтесь защитить себя от травм. Не следует слишком сильно нагружать руки и ноги, особенно в первые 2 месяца лечения.
При зуде в одной конкретной области, называемом локализованным зудом, несколько раз нанесите крем, содержащий кортикостероид или обезболивающее, например лидокаин 2%, или охлаждающие кремы, содержащие прамоксин, камфору или ментол (несколько торговых наименований для всех препаратов). день.
При более общем зуде или зуде, влияющем на сон, поговорите со своим врачом о приеме антигистаминных таблеток, таких как цетиризин (несколько торговых марок) или дифенгидрамин (несколько торговых марок), если это необходимо.
Связанные ресурсы
Кожные заболевания
Что нужно знать о побочных эффектах иммунотерапии
Что такое иммунотерапия для лечения рака
Циклофосфамид | DermNet NZ
Автор: Ванесса Нган, штатный писатель, 2003 г.
Циклофосфамид — сильнодействующее лекарство, которое в основном используется для лечения рака. Он принадлежит к классу цитотоксических препаратов, называемых алкилирующими агентами; они препятствуют росту и репликации злокачественных клеток.
Циклофосфамид оказался полезным при лечении некоторых кожных заболеваний, в частности аутоиммунных кожных заболеваний или заболеваний, связанных с каким-либо иммунным расстройством. К ним относятся:
Циклофосфамид выпускается в виде таблеток по 50 мг или во флаконах, содержащих порошок для восстановления для внутривенных инъекций.Торговое название в Новой Зеландии — Cycloblastin ™.
Как применять циклофосфамид
Для лечения кожных заболеваний циклофосфамид обычно используется в сочетании с кортикостероидами. Циклофосфамид должен использоваться только врачом, имеющим опыт его применения, так как риск токсичности высок, а побочные эффекты потенциально опасны. Важно, чтобы лечение препаратом не приводило к большему выводу из строя, чем болезнь, которую он используется для лечения. Пациенты, получающие циклофосфамид, нуждаются в тщательном наблюдении и контроле на протяжении всего лечения.
Перед началом лечения циклофосфамидом рутинная базовая оценка должна включать:
- Полный анализ крови
- Функциональные пробы печени
- почечных функциональных проб.
Регулярное наблюдение за ними следует продолжать на протяжении всего лечения.
Циклофосфамид перорально и внутривенно используется для лечения кожных заболеваний. Внутривенное импульсное введение циклофосфамида часто используется при лечении пузырчатки.Это включает ежемесячное введение циклофосфамида внутривенно и, как считается, снижает общую дозировку и снижает токсичность.
Для предотвращения токсичности мочи, например геморрагического цистита, пациенты должны получать достаточное количество жидкости и часто мочиться. Пациенты должны быть проинструктированы об увеличении потребления жидкости за 24 часа до, во время и как минимум через 24 часа после приема циклофосфамида, а также о частом мочеиспускании.
Пить от 2 до 3 литров воды в день.
Противопоказания
Циклофосфамид не следует применять при следующих обстоятельствах:
- доказательства геморрагического цистита, острой системной или мочевыделительной инфекции, уротелиальной токсичности, вызванной лекарствами или радиацией
- тяжелое поражение костного мозга
- Наличие инфекций (в результате подавления иммунитета, вызванного цитотоксическим лечением), которые могут привести к фатальным осложнениям.
Меры предосторожности
Беременность : женщины не должны получать циклофосфамид до тех пор, пока не будет исключена беременность, поскольку он проникает через плаценту и может вызвать аномалии плода. Циклофосфамид следует применять беременным женщинам только в том случае, если во время лечения и в течение примерно 3 месяцев после прекращения приема препарата соблюдаются надежные методы контрацепции.
Грудное вскармливание : циклофосфамид проникает в грудное молоко и может вызывать серьезные побочные реакции у грудного ребенка.Во время терапии циклофосфамидом кормить грудью не рекомендуется.
Побочные эффекты
Одним из основных и ограничивающих дозу побочных эффектов циклофосфамида является токсичность для костного мозга. Падение лейкоцитов часто наблюдается через 1-2 недели после терапии, но обычно восстанавливается в течение 3-4 недель.
Другие общие побочные эффекты включают:
- тошноту и рвоту
- анорексия
- Дискомфорт или боль в животе
- понос
- геморрагический цистит (см. Меры предосторожности при увеличении потребления жидкости)
- Выпадение волос обычно происходит примерно через 3 недели после начала терапии
Циклофосфамид может вызывать временное или постоянное бесплодие у женщин и мужчин, в зависимости от дозы и продолжительности терапии.Либидо и сексуальная способность обычно не нарушаются.
Лекарственные взаимодействия
Циклофосфамид часто используется в сочетании с другими цитотоксическими препаратами или иммунодепрессантами, поэтому вероятно возникновение дополнительной токсичности.
Другие препараты, которые взаимодействуют с циклофосфамидом для повышения его токсичности, включают:
- аллопуринол
- барбитуратов
- дигоксин
Таблицы данных, утвержденные Новой Зеландией, являются официальным источником информации об этих рецептурных лекарствах, включая информацию об одобренных применениях и рисках.Ознакомьтесь с индивидуальным техническим описанием Новой Зеландии на веб-сайте Medsafe.
Литература:
- Учебник дерматологии. Эд Рук А., Уилкинсон Д.С., Эблинг FJB, Чемпион Р.Х., Бертон Д.Л. Четвертый выпуск. Научные публикации Блэквелла.
В DermNet NZ
Другие веб-сайты
Книги о кожных заболеваниях
См. Книжный магазин DermNet NZ
Синдром опухшей руки, выявленный тяжелой стафилококковой инфекцией кожи
Синдром опухшей руки развивается после длительной внутривенной наркозависимости.Он характеризуется отеком без ямок, поражающим тыльную сторону пальцев и кистей рук с припухлостью. Редко сообщается о частоте и тяжести осложнений этого синдрома. Местные инфекционные осложнения, такие как целлюлит, могут быть серьезными и могут позволить поставить диагноз. Здесь мы сообщаем о случае 41-летнего мужчины, который обратился в отделение неотложной помощи с болью в животе, лихорадкой и буллезными поражениями ног и рук с отеком. Бактериологическое исследование закрытого буллезного очага показало чувствительность к метициллину Staphylococcus aureus .Компьютерная томография брюшной полости исключила глубокие инфекции и перитонеальный выпот. Пациент успешно прошел курс лечения оксациллином и клиндамицином внутривенно. В прошлом у него была зависимость от героина внутривенно. Мы сохранили диагноз синдрома опухшей руки, выявленный тяжелой стафилококковой инфекцией с токсическим поражением, имитирующим целлюлит четырех конечностей. Синдром опухшей руки, кроме лечения хронической лимфедемы, не имеет специальных лекарств.
Важны профилактические меры против кожных инфекций.
1. Введение
Синдром опухшей руки развивается у лиц, длительно употребляющих наркотики внутривенно. Редко сообщается о частоте и тяжести осложнений этого синдрома. Мы сообщаем здесь о случае синдрома опухшей руки, выявленного тяжелой стафилококковой инфекцией с токсическими осложнениями, имитирующими целлюлит четырех конечностей.
2. Описание клинического случая
Мужчина 41 года был госпитализирован в наше учреждение по поводу двустороннего отека стоп, ног, рук и кистей с лихорадкой. Пятнадцать лет назад он излечился от гепатита ВГС и от героиновой зависимости от внутривенного введения.Героиновую зависимость заменили бупренорфином без внутривенной инъекции бупренорфина.
В течение нескольких лет он жаловался на прогрессирующий отек стоп и рук, который стал постоянным в течение шести месяцев. Он обратился к своему терапевту по поводу обострения отека с появлением эритемы. Ему прописали парацетамол и нестероидный противовоспалительный препарат. Через пять дней он обратился в отделение неотложной помощи с болями в животе и буллезными поражениями ног и рук. У него была температура 39 ° C и клинические критерии тяжелого сепсиса.
У него был отек без ямок с эритемой стоп, ног, кистей и предплечий. Несколько буллезных поражений затронули его руки и ноги (рис. 1) без формальных аргументов в пользу некротического фасциита или стафилококкового синдрома ошпаренной кожи.
При подсчете клеток крови выявлен гиперлейкоцитоз, повышен уровень С-реактивного белка, у пациента острая почечная недостаточность. Бактериологическое исследование закрытого буллезного очага показало чувствительность к метициллину Staphylococcus aureus .Серологические исследования на ВИЧ, гепатит В и сифилис были отрицательными. Компьютерная томография брюшной полости исключила глубокие абсцессы или перитонеальный выпот.
Пациент успешно прошел курс гемодинамической поддержки и внутривенное введение оксациллина и клиндамицина.
Эритема и боль в животе исчезли в течение нескольких дней. Через два месяца подтвердили стойкий отек рук и ног. Допплерография вен нижних и верхних конечностей исключила тромбоз глубоких вен. Итак, мы пришли к выводу, что это синдром опухшей руки, выявленный тяжелой стафилококковой инфекцией с токсическим поражением.Нестероидное противовоспалительное лечение могло быть отягчающим фактором. Одновременная эритема и буллезные поражения четырех конечностей, боль в животе и тяжелый сепсис были признаны токсическими осложнениями.
3. Обсуждение
Синдром опухшей руки — долгосрочное осложнение злоупотребления наркотиками внутривенно. Впервые описанный Абелесом в 1965 году у заключенных Нью-Йорка, он может затронуть от 7 до 16% потребителей инъекционных наркотиков [1, 2]. Секс (женщины), инъекции в руки и ноги и отсутствие жгута являются значительными факторами риска синдрома опухшей руки [3].Он начинается во время или после длительного периода внутривенной наркотической зависимости с перемежающимися безболезненными отеками. После нескольких месяцев развития отек становится постоянным и не уменьшается с подъемом верхней конечности. Это без язвы или с небольшой ямкой, поражающей тыльную сторону пальцев и рук с припухлостью, иногда асимметричной (что более важно в недоминирующем члене), с толщиной кожи. Вовлечение стоп встречается реже, что связано с инъекциями в нижние конечности [4]. Сообщалось об акроцианозе и феномене Рейно [5].Местные инфекционные осложнения, такие как целлюлит, могут быть серьезными и часто позволяют поставить диагноз. Действительно, пациенты, страдающие синдромом опухшей руки, редко обращаются за помощью по поводу отека из-за чувства вины и несмотря на функциональные, эстетические и социальные разногласия.
Патофизиология синдрома опухшей руки многофакторна. Похоже, это связано с венозной недостаточностью и лимфатической недостаточностью. Повреждения вен, вызванные инъекциями, приводят к повторным тромбозам поверхностных вен до разрушения всей поверхностной венозной сети [6, 7].
Часто используются многочисленные адъюванты, такие как хинин, битое стекло или гипс. Хорошо известно, что хинин токсичен для вен [8] и, вероятно, против лимфатических сосудов [9]. Предполагается, что злоупотребление бупренорфином внутривенно связано с лимфатической деструкцией из-за его недостаточной растворимости, но эта гипотеза не была подтверждена статистически [3]. Кроме того, лимфосцинтиграфия продемонстрировала, что кожные инфекции, часто встречающиеся у наркоманов, вызывают лимфатические повреждения; у большинства пациентов с повторным рожистым воспалением наблюдаются значительные и даже необратимые нарушения регионарного лимфатического дренажа [10].
4. Заключение
Синдром опухшей руки не имеет специального лечения. Лечение хронической лимфедемы основано на использовании малоэластичных бинтов и эластичной одежды [11]. Важны профилактические меры против кожных инфекций.
Конфликт интересов
Авторы заявляют об отсутствии конфликта интересов в отношении данной статьи.
Авторские права
Авторские права © 2013 Reyhan Amode et al. Это статья в открытом доступе, распространяемая под лицензией Creative Commons Attribution License, которая разрешает неограниченное использование, распространение и воспроизведение на любом носителе при условии правильного цитирования оригинальной работы.
Ваша кожа, ногти и лекарства от рака | Противораковые препараты
Лекарства от рака могут изменить вашу кожу и ногти. Но есть методы лечения, которые могут помочь, и есть вещи, с которыми вы можете справиться.
Как противораковые препараты могут влиять на вашу кожу и ногти
Существует множество различных типов лекарств для лечения рака. Некоторые из них могут вызывать различные изменения кожи и ногтей.
Некоторые из этих побочных эффектов могут быть неприятными, болезненными или тревожными. Изменения на коже и ногтях заметны и могут постоянно напоминать о вашем раке.Это может помешать вашему сну, ухудшить настроение и повлиять на качество вашей жизни.
Но у большинства людей они поддаются лечению, и они проходят после завершения лечения.
Даже если лекарство может вызвать определенные побочные эффекты, вы можете их не получить. Наркотики по-разному влияют на людей. Невозможно заранее сказать, у кого будут какие побочные эффекты. Это зависит от:
- лекарство или комбинация лекарств, которые вы принимаете
- доза
- путь (внутрь, в виде инъекции или капельно через вену)
- как вы реагируете на лекарство
- как вы реагируете на лекарственное лечение в прошлом
Сообщите своему врачу или медсестре о любых изменениях на вашей коже или ногтях во время лекарственного лечения рака.Они могут рассказать вам, как справиться с этим, или порекомендовать лечение, чтобы облегчить ваши симптомы.
Твоя кожа
Проблемы с кожей чаще всего возникают при химиотерапии, таргетных противораковых препаратах и иммунотерапии.
Сильная кожная сыпь может быть побочным действием:
- таргетные противораковые препараты, такие как ингибиторы тирозинкиназы (TKI) и ингибиторы рецептора эпидермального фактора роста (EGFR)
- некоторые виды иммунотерапии
Гормональная терапия может вызывать кожную сыпь и зуд у некоторых людей, но обычно это легкая форма.
Бисфосфонаты очень редко вызывают проблемы с кожей.
Лекарства от рака также могут привести к обесцвечиванию вашей кожи:
- сухой
- немного обесцвеченный и, возможно, более темный (это может быть неоднородный)
- более чувствительный к солнечному свету
- красный и болезненный на руках и ногах (синдром ладони-стопы)
- красный и зуд по всему телу, это могут быть тяжелыми при некоторых видах биологической терапии
- болезненные, красные, горячие, сухие и зудящие в областях, ранее леченных лучевой терапией
Ваш врач может лечить эти кожные проблемы с помощью комбинации:
- увлажнители
- стероиды
- стероидные кремы
- лекарства от зуда
- антибиотики
Ткань или экстравазация
Если капля протекает во время приема лекарства от рака, часть лекарства может попасть в кожу и ткани тела вокруг капельницы.
Это называется выделением тканей или экстравазией. Вы можете почувствовать жгучую или жалящую боль вокруг капельницы, и эта область может опухнуть. После этого область может стать теплой, красной и нежной. Большинство противораковых препаратов не вызывают серьезных проблем, когда попадают в ткани организма.
Но некоторые лекарства от рака являются везикантами. Это означает, что они могут вызвать повреждение кожи и окружающих тканей в случае вытекания из капельницы.
Ваша медсестра, занимающаяся химиотерапией, обычно будет следовать строгим инструкциям, чтобы предотвратить экстравазацию.Если это произойдет с везикантным препаратом, они будут знать, что делать, и предложат дальнейшее лечение и совет.
Синдром ладони-стопы
Некоторые химиотерапевтические и направленные противоопухолевые препараты могут изменять кожу на ладонях и подошвах ног. Это называется синдромом ладони-стопы или ладонно-подошвенным синдромом.
При приеме некоторых химиотерапевтических препаратов кожа на ладонях рук и ног может становиться болезненной, красной и шелушиться. Некоторые противоопухолевые препараты могут вызывать покраснение и толстую твердую кожу на кончиках пальцев, пятках и пальцах ног.У вас также могут быть покалывание, онемение, жжение, боль и сухость. Прикасаться к теплым предметам может быть неудобно.
Синдром ладони-стопы может повлиять на качество вашей жизни. Уход за собой и одевание могут быть трудными, если у вас серьезные симптомы. Большинство симптомов проходят после завершения лечения.
Сообщите своему врачу или медсестре-специалисту, если у вас есть какие-либо изменения кожи на руках и ногах. Они предложат лечение и дадут совет. Чтобы облегчить симптомы:
- принимайте лекарства, прописанные врачом
- держите кожу хорошо увлажненной кремами от врача или медсестры
- держите руки и ноги в прохладе
- избегайте очень горячей воды
- избегайте тесных перчаток или носков
ваших ногтей
Некоторые химиотерапевтические препараты и противораковые препараты могут изменить ваши ногти.Они могут вызвать:
- воспаление ногтевого ложа, и некоторые ногти могут ослабнуть
- воспаление или инфекция ногтевых складок
Некоторые химиотерапевтические препараты могут вызвать появление белых или темных линий на ногтях. Ваши ногти также могут:
- становятся ломкими и сухими
- растут медленнее
- образуют гребни
Советы
Есть вещи, которые вы можете сделать, чтобы помочь своей коже и ногтям во время лечения противораковыми препаратами.
- Посоветуйтесь со своим врачом, нужно ли вам что-нибудь делать для защиты кожи.
- Сообщите своему врачу, если у вас есть сыпь или зуд.
- Вода, содержащая хлор, может усугубить сыпь, поэтому не ходите купаться, если у вас есть сыпь.
- Если ваша кожа становится сухой или зудящей, может помочь разглаживание с помощью увлажняющего крема без запаха.
- Не используйте крем на участках, подвергающихся лучевой терапии, без предварительной консультации с врачом.
- Наденьте солнцезащитный крем с высоким коэффициентом защиты, если вы собираетесь на солнце, и нанесите солнцезащитный крем на голову, если вы потеряли волосы.
- Используйте масло для ногтей или увлажняющие кремы, если ногти шелушатся.
- Не беспокойтесь о следах на ногтях, они со временем вырастут.
- Покройте отмеченные ногти лаком, если хотите, но избегайте быстросохнущих ногтей, так как они могут сделать ваши ногти еще суше.
- Носите хлопковые носки и удобную обувь достаточной ширины.
- Не откладывайте визит к врачу, если у вас есть инфекция кожи или ногтей.
Синдром кисти и стопы — устранение побочных эффектов
Chemocare.ком
Уход во время химиотерапии и после нее
Что такое синдром ладони-стопы?
Другие термины: Ладонно-подошвенная эритродизестезия; СИЗ
Также называется синдромом ладони-стопы или синдромом ладонно-подошвенной эритродизестезии. является побочным эффектом, который может возникнуть при использовании нескольких видов химиотерапии или биологических препаратов. терапевтические препараты, применяемые для лечения рака.Например, капецитабин (Xeloda ® ), 5-флуроурацил (5FU), доксорубицин для непрерывной инфузии, липосомальный доксорубицин (Doxil ® ) и высокие дозы интерлейкина-2 может вызвать эту кожную реакцию у некоторых пациентов. После администрации химиотерапия, небольшое количество лекарства просачивается из очень мелких кровеносных сосудов, называемых капилляры в ладонях и подошвах стоп. Разоблачение вашего руки и ноги, чтобы нагреть, а также трение о ладони и подошвы увеличивают количество лекарства в капиллярах и увеличивает количество утечки лекарства.Эта утечка лекарства приводит к покраснению, болезненности и, возможно, шелушению кожи. ладони и подошвы. Покраснение, также известное как ладонно-подошвенная эритема, похоже на солнечный ожог. Пораженные участки могут стать сухими и шелушиться с появлением онемения. или появляется покалывание. Синдром ладони-стопы может вызывать дискомфорт и мешать с вашей способностью выполнять обычные действия.
вещей, которые вы можете сделать при синдроме ладони и стопы:
Профилактика: Профилактика очень важна в попытках уменьшить развитие ладонно-стопного синдрома.Действия, предпринятые для предотвращения рукопожатия синдром поможет уменьшить тяжесть симптомов, если они разовьются.
- Это включает в себя изменение некоторых из ваших обычных повседневных действий, чтобы уменьшить трение
и тепловое воздействие на ваши руки и ноги в течение периода времени после
лечение (примерно через неделю после в / в введения лекарств, по возможности во время
время, когда вы принимаете пероральные (пероральные) лекарства, такие как капцитабин).
- Избегайте длительного воздействия горячей воды на руки и ноги, например, мытье посуды, душевые кабины или ванны.
- Короткие души в прохладной воде уменьшат воздействие на подошвы ног препарат, средство, медикамент.
- Не следует носить перчатки для мытья посуды, так как резина будет удерживать тепло ладони.
- Избегайте повышенного давления на подошвы ступней или ладони.
- Запрещается бег трусцой, аэробика, силовая ходьба, прыжки — избегайте долгих дней ходьбы.
- Вам также следует избегать использования садовых инструментов, бытовых инструментов, таких как отвертки, и другие задачи, при которых вы сжимаете руку о твердую поверхность.
- Использование ножей для измельчения пищи также может вызвать чрезмерное давление и трение на вашем ладони.
Процедуры охлаждения:
- Холод может временно облегчить боль и болезненность, вызванные руками и ногами. синдром.
- Положите ладони или ступни на пакет со льдом или пакет с замороженным горошком. может быть очень утешительным. Поочередно включайте и выключайте по 15-20 минут за раз.
Лосьоны:
- В течение того же периода следует избегать втирания лосьона в ладони и подошвы, хотя между процедурами очень важно сохранять эти области влажными.
- смягчающие средства, такие как Aveeno ® , Lubriderm ® , крем для вымени ® и мешок Бальзам ® отлично увлажняет ваши руки. и ноги.
Обезболивающее:
- Безрецептурные болеутоляющие, такие как парацетамол (Тайленол ® ) может быть полезным для снятия дискомфорта, связанного с синдромом ладони-стопы.Посоветуйтесь со своим врачом.
Витамины:
- Прием витамина B6 (пиридоксина) может быть полезным для профилактики и лечения Подошвенно-ладонная эритродизестезия, которую следует обсудить с врачом.
Лекарства / методы лечения, которые может назначить ваш врач:
- Может потребоваться прервать химиотерапевтическое лечение или скорректировать дозу для предотвращения обострение ладонно-стопного синдрома.
Когда обращаться к врачу или специалисту в области здравоохранения:
- Если вы заметили, что ваши ладони или подошвы стали красными или болезненными. Это чаще всего происходит перед пилингом, и могут быть даны рекомендации по уменьшению дискомфорта. Если вы принимаете таблетки от химиотерапии, вас могут попросить провести курс лечения или вам понадобится Ваша доза скорректирована, чтобы предотвратить ухудшение симптомов.
Примечание: Мы настоятельно рекомендуем вам поговорить со своим лечащим врачом. о вашем конкретном заболевании и лечении.Информация, содержащаяся на этом веб-сайте призван быть полезным и образовательным, но не заменяет для медицинской консультации.
Chemocare.com предназначен для предоставления самой последней информации о химиотерапии пациентам и их семьям, лицам, осуществляющим уход, и друзьям. Для получения информации о программе наставничества «Четвертый ангел» посетите сайт www.4thangel.org
.Гидроксимочевина (пероральный путь) Побочные эффекты
Побочные эффекты
Информация о лекарствах предоставлена: IBM Micromedex
Наряду со своими необходимыми эффектами лекарство может вызывать некоторые нежелательные эффекты.Хотя не все из этих побочных эффектов могут возникнуть, в случае их возникновения может потребоваться медицинская помощь.
Немедленно обратитесь к врачу при возникновении любого из следующих побочных эффектов:
Более распространенный
- Черный дегтеобразный стул
- кровь в моче или стуле
- озноб
- кашель
- высокая температура
- охриплость
- боль в пояснице или в боку
- болезненное или затрудненное мочеиспускание
- бледная кожа
- точно определить красные пятна на коже
- больное горло
- язвы, язвы или белые пятна во рту
- необычное кровотечение или синяк
- необычная усталость или слабость
Реже
- Почернение ногтей рук и ног
- затрудненное дыхание при нагрузке
Редкий
- Спутанность сознания
- головокружение
- Головная боль
- боль в суставах
- видеть, слышать или чувствовать то, чего нет
- припадки
- отек стоп или голеней
Заболеваемость неизвестна
- Кровотечение под кожей
- волдыри на коже
- синеватый или бледный цвет на коже пальцев рук или ног
- холодность пальцев рук или ног
- кратероподобные поражения на коже
- сонливость
- быстрое сердцебиение
- крапивница, зуд, кожная сыпь
- раздражение
- зуд, боль, покраснение или отек на ноге
- жесткость или отек суставов
- потеря аппетита
- мышечные спазмы (тетания) или судорожные припадки
- тошнота
- онемение или покалывание пальцев рук или ног
- боль в пальцах рук или ног
- боль на ноге
- отек век, лица, губ, рук или ног
- стеснение в груди
- дрожь
- затрудненное дыхание или глотание
- рвота
- потеря веса
Могут возникнуть некоторые побочные эффекты, которые обычно не требуют медицинской помощи.



EGFR способствует росту раковых клеток. Он также играет роль в нормальном росте кожи, волос и ногтей. Это означает, что во время лечения этими препаратами может возникнуть сыпь и изменения на волосах и ногтях.
Используется для лечения почечно-клеточного рака, стромальной опухоли желудочно-кишечного тракта (GIST) и гепатоцеллюлярного рака.Побочные эффекты включают:
Побочные эффекты включают:
Этот препарат можно использовать для лечения НМРЛ и меланомы. Побочные эффекты, связанные с кожей, включают:
